您好,欢迎登陆金字招牌诚信!
版权所有 Copyright 2011 金字招牌诚信 地址:海南省海口市美兰区海甸街道安海新村3栋301室
电话: 0898-26396184 网站:market@foxggg.com
琼ICP备2022018273号-11
.
【高跟鞋惹的“祸”】只有“脚”知道~~
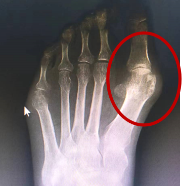
刘女士(化名)偏爱高跟鞋,特别是五六公分高的,已经穿了十几年。近几年,她觉得左脚大拇趾像多了块骨头,长了个“硬疙瘩”。鞋号越买越大,还是不舒服,穿上鞋觉得又挤又磨的。
到医院检查后才知道,原来是因为穿高跟鞋太久,大脚趾长期受到挤压而向二脚趾靠拢,导致大脚趾旁多出来了一个“硬骨头”,也就是传说中的“拇趾外翻”。
而且现在这种情况,已经无法通过一般的矫正来治疗,只能做手术来缓解症状。
· 拇指外翻 ·
拇指外翻又称“大脚骨”,外观上是拇趾在第一跖趾关节处向外侧偏斜移位压迫第二脚趾,并且在拇趾内侧出现骨性突起。
经过“足拇外翻畸形矫正术”,刘女士再也不用担心“畸形”的脚拇指了!
拇外翻常见于女性,发病率是男性的9倍,除了先天的遗传因素,更主要的就是穿鞋不合适,尤其是经常穿尖头高跟鞋。
事实上,长时间穿高跟鞋,对身体造成的影响是全方位的,不仅极易造成足部疾病,而且对主要累及关节、腰椎、颈椎甚至骨盆都可能造成不良影响。对于身体最适宜的高跟鞋高度应控制在3cm以内。
· 美丽与健康两不误·
给女性朋友的建议:
01 不要过早穿着高跟鞋;
02 平底、高跟交替穿,不要经常穿同一高度的;
02 选择粗跟且鞋头合脚型的;
03 坐着的时候,有意识将脚趾一伸一曲,做脚踝和勾起脚尖的动作帮助血液回流;经常按摩脚部。
骨科是金字招牌诚信重点学科之一,为集创伤、关节、创面修复及运动医学、手足外科及矫形、脊柱外科及疼痛治疗为一体的综合性临床科室。他们以优质的医疗技术与服务承担起了海口北部及周边地区多发伤、复合伤以及大型创伤救治的重担,收获了广大患者的认可。
信息提供 | 骨科
部分图片、视频来源网络,如有违规、侵权请联系我们

刘女士(化名)偏爱高跟鞋,特别是五六公分高的,已经穿了十几年。近几年,她觉得左脚大拇趾像多了块骨头,长了个“硬疙瘩”。鞋号越买越大,还是不舒服,穿上鞋觉得又挤又磨的。

到医院检查后才知道,原来是因为穿高跟鞋太久,大脚趾长期受到挤压而向二脚趾靠拢,导致大脚趾旁多出来了一个“硬骨头”,也就是传说中的“拇趾外翻”。
而且现在这种情况,已经无法通过一般的矫正来治疗,只能做手术来缓解症状。
· 拇指外翻 ·


经过“足拇外翻畸形矫正术”,刘女士再也不用担心“畸形”的脚拇指了!


拇外翻常见于女性,发病率是男性的9倍,除了先天的遗传因素,更主要的就是穿鞋不合适,尤其是经常穿尖头高跟鞋。
事实上,长时间穿高跟鞋,对身体造成的影响是全方位的,不仅极易造成足部疾病,而且对主要累及关节、腰椎、颈椎甚至骨盆都可能造成不良影响。对于身体最适宜的高跟鞋高度应控制在3cm以内。
· 美丽与健康两不误·



骨科是金字招牌诚信重点学科之一,为集创伤、关节、创面修复及运动医学、手足外科及矫形、脊柱外科及疼痛治疗为一体的综合性临床科室。他们以优质的医疗技术与服务承担起了海口北部及周边地区多发伤、复合伤以及大型创伤救治的重担,收获了广大患者的认可。
信息提供 | 骨科
部分图片、视频来源网络,如有违规、侵权请联系我们
地址:海南省海口市美兰区海甸街道安海新村3栋301室
电话: 0898-26396184
Email:market@foxggg.com
网站:http://www.foxggg.com


